Surprise Me!

Big Brain : la carte 3D du cerveau humain la plus précise du monde !

2013-06-20 12 Dailymotion

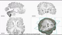
A partir du cerveau d'une femme de 65 ans conservé dans un bloc de paraffine, des chercheurs allemands et canadiens ont réalisé un magnifique travail : une carte 3D du cerveau, 50 fois plus précise que celles publiées jusqu'ici.