Surprise Me!

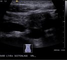
Duodenum nach Nahrungsaufnahme bei Wilkie-Syndrom: Widerstandsperistaltik

2016-01-17 18 Dailymotion

Das erweiterte Duodenum versucht vergeblich, Nahrung über die Kompressionsstelle, bestehend aus Arteria mesenterica superior und Aorta, zu transportieren. Dies ist charakteristisch für das Wilkie-Syndrom.